
MRI とはMagnetic Resonance Imaging(磁気共鳴画像)の略称です。非常に強い磁石と電磁波を利用し、人体の様々な断面(タテ・ヨコ・ナナメ)を撮像することができる検査です。北里大学病院では現在5台のMRI装置(3.0テスラ装置 3台、1.5テスラ装置2台)が稼動しており、様々な部位・疾患に対して必要な情報を提供しています。
また、検査室には放射線診断科医師、診療放射線技師、看護師が常駐し、安心、安全 かつ高画質な画像診断を提供できるよう努めています。

放射線を使用せず、磁石と電磁波を用いて画像を得ています。
病変部と正常組織の濃淡がつきやすく診断能が向上します。
またMRIでは撮影方法により、様々な情報を得ることができます。
検査部位・目的によってはMRI用造影剤を使用することで、より濃淡のついた画像を得ることができます。
![]() MRI画像 |
![]() CT画像 |
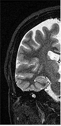
![]() 非造影画像 |
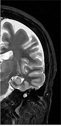
![]() 造影画像 |
病変や検査部位に応じて数種類の撮影を行うため、検査時間が長くなってしまいます。
(検査は15分~60分かかります)
検査中は工事現場のような音が鳴ります。そのため、ヘッドホンや耳栓などを使用した状態で検査を行います。
体内電子機器、体内金属等の安全に関する確認を行い、着替え等の準備をしていただきます。

検査室入口で再度、安全確認をさせていただいてから入室となります。

検査開始となります。検査中は体が動かないようにご協力ください

造影検査を行う際は腕の静脈に点滴をとり、検査の途中で造影剤を使用します。
(検査内容によっては検査前に飲んでいただく造影剤もあります。)
体内に、電子機器やMRIに対応していない金属が埋め込まれている方は、検査を受けることができません。
妊娠の可能性のある方、閉所恐怖症の方、入れ墨やパーマネントアイラインをされている方は検査を受けられない場合があります。
脳梗塞、脳腫瘍、脳出血、その他の変性疾患を診断することができます。また、造影剤を用いること無く、血管を明瞭に描出し、動脈の瘤や狭窄を診断することができます。

脊髄や椎間板などを鮮明に描出することができます。痛み、しびれの原因となる椎間板ヘルニアや、脊椎変性疾患などの診断に有用な検査です。

レントゲン撮影で診断の難しい靭帯や半月板などを明瞭に描出することができます。

呼吸の動きに合わせて撮影したり、呼吸を止めて撮影したりすることで、腹部の臓器を明瞭に描出することができます。
![]() 肝臓 |
![]() 腎臓 |
造影剤を用いて下肢血管を描出することも可能ですが、MRIでは造影剤を用いなくても下肢血管を描出することが可能です。
比較的太い血管の狭窄や塞栓の診断に有用な検査です。
