- TOP
- 部門紹介
部門紹介
血管障害
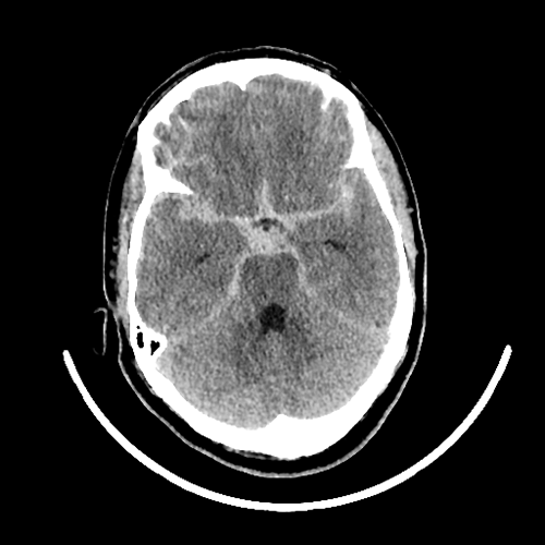
くも膜下出血の単純CT- 脳卒中 (脳出血・くも膜下出血・脳梗塞)
- 脳動脈瘤
- 動脈狭窄
- 動脈解離
- 硬膜動静脈瘻
- もやもや病
- 血管奇形 (脳動静脈奇形・海綿状血管腫 など)
主に脳や脊髄を流れる血管の病気です。
「突然手がうまく動かせなくなった」「頭が痛い」などでみつかった脳卒中や、人間ドックで偶然見つかった脳動脈瘤などが対象となります。診察後、CT・MRI・血管造影などの検査を行い、どのように治療していくか決めていきます。
ちなみに、脳動脈瘤の場合、患者さん本人の状態と検査結果をみて、経過観察 (定期的に様子をみていく)をするか手術 (開頭クリッピング術 または 脳血管内手術)をするか決めていきます。
外傷
骨折の単純CT- 急性硬膜下血腫
- 慢性硬膜下血腫
- 急性硬膜外血腫
- 脳挫傷
- 頭蓋骨骨折
- 脊髄損傷
- 脳しんとう
交通事故に遭ったり、転んだりして、頭や首などを受傷 (けが)した際に起こります。
軽いものであれば経過観察していきます。しかし、命に関わるような状態であったり、そのままにしておくと意識/高次機能や手足の動きに不自由が生じてしまう可能性がある場合は、緊急で手術を行います。北里大学病院では、主に救命救急・災害医療センターで全身管理を行い、救命救急・災害医療センター所属の脳神経外科医が手術を行っています。
脳腫瘍
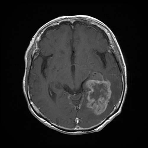
悪性神経膠腫の造影MRI- 神経膠腫 (悪性神経膠腫/境界悪性神経膠腫)
- 髄膜腫
- 神経鞘腫
- 下垂体腫瘍
- 頭蓋咽頭腫
- 上衣腫
- 髄芽腫
- 胚細胞性腫瘍
- 転移性脳腫瘍
- 中枢神経原発悪性リンパ腫
主に頭蓋内 (頭蓋骨の内がわ)にできる病変を“脳腫瘍”と呼びます。原発性脳腫瘍は、脳の細胞・脳を包む膜・脳から出る神経からできると言われており、150種類以上に分類されています。また、乳癌・肺癌といった病気が脳に転移する転移性脳腫瘍もあります。診察後にCT・MRI検査などを行い、経過観察をするか手術などをするか決めていきます。
悪性腫瘍の場合は、手術して病理診断 (手術で摘出した病変がどういった腫瘍であるか診断する)後に、患者さん本人の状態をみて 化学療法・放射線療法を行います。
良性腫瘍の場合は、たとえ良性であっても手術後に再発したりする場合もあるので、外来で経過観察をしていきます。
機能
パーキンソン病で手術を行った患者さんのレントゲン
- 三叉神経痛
- 顔面けいれん
- てんかん
- パーキンソン病
- 本態性振戦
痛みやふるえ・てんかんが該当します。診察し、MRI検査などを行い、投薬治療 (主に内服薬での治療)や手術を行います。
てんかんは、脳出血・脳腫瘍・水頭症など、脳のさまざまな病気が誘因となって起こることもあります。脳神経外科は総合的に判断して治療をしていきます。
パーキンソン病や本態性振戦などは、はじめは投薬治療が行われることが多いですが、患者さん本人の状態をみて手術を行うこともあります。
小児
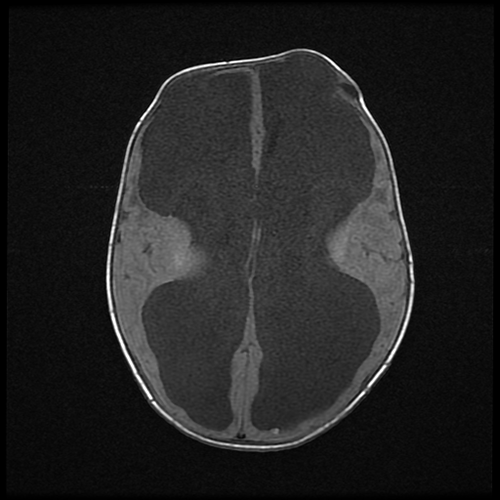
水頭症の単純MRI- 水頭症
- 二分脊椎 (脊髄髄膜瘤/脊髄脂肪腫)
- 頭蓋骨縫合早期癒合症
- くも膜嚢胞
- 頭位性斜頭症
小児で起こる脳・脊髄に関してみていきます。先述のもやもや病や脳腫瘍も小児で起こることがあります。もちろん外傷もです。病気でなかったとしても、乳児健診で「頭のかたちがゆがんでいる」といった頭囲性斜頭症や、「おしりの上がくぼんでいる」といったことも脳神経外科で診察します。
水頭症は状況を適正に判断して手術を行います。手術の後に症状が改善しても、数年 (場合によっては数十年)経って急に具合が悪くなることもあるので、定期的に経過をみていく必要があります。
脊髄・脊椎
脊髄空洞症の単純MRI- 頚髄損傷
- 脊髄腫瘍
- 脊髄空洞症
- 頚椎症
- 椎間板ヘルニア
- 側弯症
脊髄・脊椎 (背骨の骨のこと) の疾患です。
脳から出ている神経の束が圧迫されたりすることで、手足のしびれ・麻痺などが起こることがあります。レントゲン・CT・MRIなどで検査し、どのように治療していくか検討していきます。整形外科でみていることも多い分野です。
その他
- 正常圧水頭症
